Radiografia de tórax
projeção ântero-posterior.
projeção lateral.
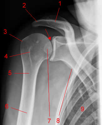
Radiografia do ombro
incidência AP (frontal).
incidência perfil
1 Processo coracóide.2 Clavícula.3 Acrômio.4 Cabeça do úmero.5 úmero.6 Escápula (fronteira axilar)
Radiografia do cotovelo
AP
perfil
1, Úmero. 2, Epicôndilo medial do úmero. 3, Epicôndilo lateral do úmero. 4, Fossa do olécrano.
5, Capitellum do úmero. 6, Rádio. 7, Cabeça radial. 8, Ulna. 9, Olécrano. 10, Processo coronóide da ulna. 11,Panícula de gordura anterior (ddéplacé par un épanchement intra-articulaire).
5, Capitellum do úmero. 6, Rádio. 7, Cabeça radial. 8, Ulna. 9, Olécrano. 10, Processo coronóide da ulna. 11,Panícula de gordura anterior (ddéplacé par un épanchement intra-articulaire).
Radiografia do antebraço
incidência AP
incidência perfil.
*, Cartilagem epifisário.








Nenhum comentário:
Postar um comentário